
¿©¼º 40¼¼ Àü »ý¸® ²÷±â¸é ÁÖÀÇ
È£¸£¸ó °áÇÌ ´Ù¾çÇÑ Áúȯ À¯¹ß
º¹ºÎ ´ëµ¿¸Æ·ù »õ À§ÇèÀÎÀÚ·Î
Ç÷°üº¸È£ ¿ªÇÒ »ç¶óÁö¸ç ¹ßº´
ÅÍÁö¸é »ç¸Á·ü 80~90%
ÆÄ¿À̳Ä, ¾Æ´Ï³Ä¡¦ ¿¹ÈÄ ±Ø¸í
°íÀ§Çè ¿©¼º ¼±º°°Ë»ç ¸ñ¼Ò¸®
È£¸£¸ó °áÇÌ ´Ù¾çÇÑ Áúȯ À¯¹ß
º¹ºÎ ´ëµ¿¸Æ·ù »õ À§ÇèÀÎÀÚ·Î
Ç÷°üº¸È£ ¿ªÇÒ »ç¶óÁö¸ç ¹ßº´
ÅÍÁö¸é »ç¸Á·ü 80~90%
ÆÄ¿À̳Ä, ¾Æ´Ï³Ä¡¦ ¿¹ÈÄ ±Ø¸í
°íÀ§Çè ¿©¼º ¼±º°°Ë»ç ¸ñ¼Ò¸®
¡°6°³¿ù°£ »ý¸® ÁÖ±â¿Í »ý¸®·®ÀÌ ºÒ±ÔÄ¢Çϰí Àáµµ Àß ¸ø ÀÚ°í °¡²û ¾ó±¼ÀÌ È® ´Þ¾Æ¿À¸£´Â µíÇÑ ¿°¨ÀÌ ´À²¸Áö±âµµ ÇÕ´Ï´Ù. ÀÌÀ¯ ¾øÀÌ Â¥Áõ ³ª°í ¿ì¿ïÇØÁö´Â µî °¨Á¤ ±âº¹µµ ½ÉÇØÁø °Í °°¾Æ¿ä.¡± 30´ë ÈĹÝÀ̶ó°í ¹àÈù ¿©¼ºÀÌ ÀÎÅÍ³ÝÆ÷ÅÐ »ó´ã Ä«Æä¿¡ ¿Ã¸° ±Û ÀϺδÙ. ÇØ´ç ¿©¼ºÀº ¡°¸¶Ä¡ Æó°æÀÌ ¿Â µíÇÑ ´À³¦À̶ó Á¶±â Æó°æÀÏ±î µÎ·Æ°í °ÆÁ¤µÈ´Ù¡±°í Çß´Ù. ¿©¼ºÀÇ Á¤»ó Æó°æ ³ªÀÌ´Â 50¼¼ ¾ÈÆÆÀÌ´Ù. ÇÏÁö¸¸ 40¼¼ ÀÌÀü¿¡ ÀÏÂï Æó°æÀ» °æÇèÇÏ´Â ¿©¼ºµéÀÌ ÀÖ´Ù. Æó°æÀº ´Ü¼øÈ÷ ¿ù°æÀÌ ³¡³ª´Â °úÁ¤ÀÌ ¾Æ´Ï´Ù. ¿©¼º È£¸£¸óÀÌ ±Þ°ÝÈ÷ ÁÙ¸é¼ °ñ´Ù°øÁõÀ̳ª ½É³úÇ÷°üÁúȯ, Ä¡¸Å µî ´Ù¾çÇÑ ¸¸¼ºÁúȯ À§ÇèÀÌ ³ô¾ÆÁö´Â °Ç° °ü¸®ÀÇ Áß¿äÇÑ ÀüȯÁ¡ÀÌ´Ù. Á¶±â Æó°æÀº ÀÌ·± À§Çè¿¡ ´õ »¡¸® ³ëÃâµÇ´Â °ÍÀÌ´Ù.
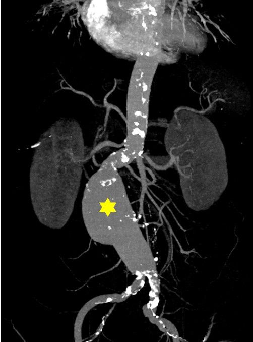
ÃÖ±Ù ±¹³» ¿¬±¸¿¡¼ Á¶±â Æó°æÀÌ ¸¸¼ºÁúȯ»Ó ¾Æ´Ï¶ó »ý¸í¿¡ Á÷Á¢ À§ÇùÀÌ µÇ´Â ¡®º¹ºÎ ´ëµ¿¸Æ·ù¡¯ À§ÇèÀ» ³ôÀÌ´Â °ÍÀ¸·Îµµ ³ªÅ¸³µ´Ù.
¡®¹î¼Ó ½ÃÇÑÆøÅº¡¯À¸·Î ºÒ¸®´Â º¹ºÎ ´ëµ¿¸Æ·ù´Â ÅÍÁö¸é »ç¸Á·üÀÌ 80~90%¿¡ ´ÞÇÑ´Ù. º´¿ø µµÂø Àü¿¡ ´ëºÎºÐ »ý¸íÀ» ÀҰųª ³»¿øÇÏ´õ¶óµµ ¼ö¼ú¹æ¿¡ µé¾î°¡±â Àü¿¡ »ç¸ÁÇÒ ¼ö ÀÖ´Ù. ÆÄ¿µÇ±â Àü¿¡ ¹ß°ßÇØ ¼ö¼ú¹ÞÀ¸¸é ÇÕº´Áõ ¹ß»ýÀº 3~6%¿¡ ±×Ä£´Ù. ÀÌ¿¡ µû¶ó Èí¿¬, °íÇ÷¾Ð µî ÀÌ¹Ì ¹àÇôÁø À§Çè¿äÀΰú ´õºÒ¾î Á¶±â Æó°æÀ» ¿©¼º º¹ºÎ ´ëµ¿¸Æ·ùÀÇ ¼±º°°Ë»ç ±âÁØ¿¡ Æ÷ÇÔÇØ¾ß ÇÑ´Ù´Â ÁöÀûÀÌ ³ª¿Â´Ù.
¡°¿øÀÎ Áø´Ü°ú È£¸£¸ó Ä¡·á ²À Çʿ䡱
Á¶±â Æó°æÀÇ ÀÇÇÐÀû ¿ë¾î´Â ¡®Á¶±â ³¼ÒºÎÀü¡¯ÀÌ´Ù. 40¼¼ Àü¿¡ 12°³¿ù ¿¬¼Ó »ý¸®°¡ ¾øÀ» ¶§·Î, Ç÷Áß ³Æ÷ÀÚ±ØÈ£¸£¸ó ¼öÄ¡¸¦ ÃøÁ¤ÇØ Áø´ÜÇÑ´Ù. 40~45¼¼¿¡ Æó°æµÇ´Â °æ¿ì¿£ ¡®À̸¥ Æó°æ¡¯À¸·Î Á¤ÀÇÇØ Á¶±â Æó°æ°ú ¸¶Âù°¡Áö·Î È£¸£¸ó Ä¡·á¸¦ ½ÃÀÛÇØ¾ß ÇÑ´Ù. ¼±Çà ¿¬±¸¿¡ µû¸£¸é Çѱ¹ ¿©¼ºÀÇ 1~5%¿¡¼ Á¶±â Æó°æÀÌ ¹ß»ýÇÏ´Â °ÍÀ¸·Î º¸°íµÈ´Ù.
¿øÀÎÀº ¿°»öü ÀÌ»ó, À¯ÀüÀÚ µ¹¿¬º¯ÀÌ, °¨¿°, ÀÚ°¡¸é¿ªÁúȯ, ¹æ»ç¼± ¹× Ç×¾ÏÄ¡·á, ³Æ÷ ¹ß´ÞÀå¾Ö µî ´Ù¾çÇÏÁö¸¸ ¿øÀÎÀ» ¸ð¸£´Â ¡®Æ¯¹ß¼º¡¯ÀÎ °æ¿ì°¡ ´õ ¸¹´Ù. ½ºÆ®·¹½º³ª Èí¿¬, ÀúüÁßµµ ÁÖ¿ä ȯ°æ ¿äÀÎÀ¸·Î Áö¸ñµÈ´Ù. 10~20´ë¿¡ ±Ø´ÜÀûÀ¸·Î ÀÏÂï Á¶±â Æó°æµÇ´Â °æ¿ì´Â µå¹°°í 30´ë ÈĹݿ¡ ¹ß»ýÇÏ´Â °ÍÀÌ ´ëºÎºÐÀÌ´Ù.
³²±Ã Á¤ °¡Å縯´ë ÀºÆò¼º¸ðº´¿ø »êºÎÀΰú ±³¼ö´Â 20ÀÏ ¡°ÀÚ¿¬ Æó°æ°ú ´Þ¸® Á¶±â Æó°æ ȯÀÚµéÀº ²À ¿øÀÎ °¨º°À» À§ÇÑ °Ë»ç¿Í È£¸£¸ó º¸Ãæ ¿ä¹ýÀ» ¹Þ¾Æ¾ß ÇÑ´Ù¡±°í Á¶¾ðÇß´Ù. ³»°úÀû Ä¡·á°¡ ÇÊ¿äÇÑ °æ¿ì°¡ ÀÖÀ» ¼ö ÀÖ°í ¿°»öü ÀÌ»ó, À¯ÀüÀÚ º¯ÀÌ °°Àº °æ¿ì¿£ À¯Àü »ó´ãÀÌ ÇÊ¿äÇÏ´Ù. ÀÚ°¡¸é¿ªÁúȯÀÇ °æ¿ì ³¼ÒºÎÀü ¿Ü¿¡ ´Ù¸¥ ±â°ü¿¡µµ ¿©·¯ ÀÌ»óÀÌ ¹ß»ýÇÒ ¼ö ÀÖ¾î »õ·Ó°Ô ³ªÅ¸³ª´Â ¹®Á¦µéÀ» ÁÖÀÇ ±í°Ô °üÂûÇØ¾ß ÇÑ´Ù. ´Ù¸¸ Á¶±â Æó°æÀº ÀÚ¿¬ Æó°æ°ú ´Þ¸® °£ÇæÀûÀ¸·Î ³¼Ò ±â´ÉÀÌ È¸º¹µÅ ¹è¶õµÇ´Â °æ¿ìµµ ÀÖ¾î ¾à 5~10%¿¡¼ ÀӽŰú ºÐ¸¸ÀÌ °¡´ÉÇÏ´Ù. ¸·¿¬È÷ ºÒ¾ÈÇØÇϰí Ãâ»êÀ» Æ÷±âÇÏÁö ¸»¾Æ¾ß ÇÏ´Â ÀÌÀ¯´Ù.
Á¶±â Æó°æ ¿©¼ºÀº ¿¡½ºÆ®·Î°Õ È£¸£¸óÀÇ °áÇÌÀ¸·Î ÀÎÇØ Çù½ÉÁõ¡¤½É±Ù°æ»ö, ³úÁ¹Áß, ´ç´¢º´, °ñ´Ù°øÁõ ¹× °ñÀý, Ä¡¸Å, ÆÄŲ½¼º´, ³ì³»Àå, ¿ì¿ïÁõ ¹× ºÒ¾ÈÀå¾Ö, Á¶±â »ç¸ÁÀÇ À§ÇèÀÌ Áõ°¡ÇÏ´Â °ÍÀ¸·Î ¹àÇôÁ® ÀÖ´Ù. ³²±Ã ±³¼ö´Â ¡°ÀÏ¹Ý Æó°æ ¿©¼º¿¡ ºñÇØ È£¸£¸ó Ä¡·á À§ÇèÀº Àû°í ÀÌÀÍÀº ´õ Ŭ °ÍÀ¸·Î ¿©°ÜÁö±â ¶§¹®¿¡ Àû¾îµµ ÀÚ¿¬ Æó°æ ³ªÀ̱îÁö´Â È£¸£¸ó Ä¡·á¸¦ ¹ÞÀ» °ÍÀ» ±Ç°íÇϰí ÀÖ´Ù¡±°í µ¡ºÙ¿´´Ù.
È£¸£¸ó ³ëÃ⠱Ⱓ ªÀ»¼ö·Ï À§Çè ¡è

ÀºÆò¼º¸ðº´¿ø Ç÷°üÀ̽Ŀܰú ±è¹ÌÇü¡¤È²Á¤±â ±³¼öÆÀÀº ±¹Á¦ ÇмúÁö(Journal of Vascular Surgery)¡¯ ÃֽйßÇ¥ ³í¹®À» ÅëÇØ Á¶±â Æó°æÀÌ º¹ºÎ ´ëµ¿¸Æ·ùÀÇ »õ·Î¿î À§Çè ÀÎÀÚÀÓÀ» óÀ½À¸·Î ¹àÇô³Â´Ù.
¿¬±¸ÆÀÀº 2009³â ±¹°¡°Ç°°ËÁøÀ» ¹ÞÀº 40¼¼ ÀÌ»ó ¿©¼º 310¸¸¸í Áß ¼ö¼úÀ̳ª À¯¹æ¾Ï È£¸£¸ó Ä¡·á·Î ÀÎÇÑ Æó°æ µîÀ» Á¦¿ÜÇÑ ÀÚ¿¬ Æó°æ ¿©¼º 139¸¸¸íÀ» 2019³â±îÁö 10³â°£ ÃßÀû °üÂûÇß´Ù. °ËÁø ´ç½Ã 40¼¼ ÀÌÀü¿¡ Æó°æÇß´Ù°í ¹àÈù °æ¿ì Á¶±â Æó°æ±ºÀ¸·Î ºÐ·ùÇß´Ù. ¿¬±¸ °á°ú ÇØ´ç ±â°£ º¹ºÎ ´ëµ¿¸Æ·ù Áø´ÜÀÚ 3629¸í Áß Á¶±â Æó°æ ¿©¼ºÀº 102¸í(2.81%)À̾ú´Ù. ÀÌ´Â º¹ºÎ ´ëµ¿¸Æ·ù ¹ÌÁø´Ü ¿©¼º Áß Á¶±â Æó°æ ºñÀ²(1.78%)À» ÈξÀ ¿ôµµ´Â °ÍÀÌ´Ù. ¶Ç 40¼¼ ÀÌÀü Æó°æ ¿©¼ºÀº 55¼¼ ÀÌÈÄ Æó°æ ¿©¼ºº¸´Ù º¹ºÎ ´ëµ¿¸Æ·ù À§ÇèÀÌ 23% ³ô¾Ò´Ù. Æò»ý ¿ù°æ ±â°£ÀÌ 30³â ¹Ì¸¸ÀÎ ¿©¼ºÀº 40³â ÀÌ»ó ¿©¼ºº¸´Ù º¹ºÎ ´ëµ¿¸Æ·ù À§ÇèÀÌ 20% Áõ°¡Çß´Ù. ¿©¼º È£¸£¸ó ³ëÃ⠱ⰣÀÌ ÂªÀ»¼ö·Ï º¹ºÎ ´ëµ¿¸Æ·ù ¹ß»ý °¡´É¼ºÀÌ Ä¿Áö´Â °ÍÀÌ´Ù. ±è¹ÌÇü ±³¼ö´Â ¡°¿©¼º È£¸£¸óÀº Ç÷°üÀ» º¸È£ÇÏ´Â ¿ªÇÒÀ» Çϴµ¥ Á¶±â Æó°æÀ¸·Î ÀÌ·± È¿°ú°¡ »ç¶óÁö±â ¶§¹®À¸·Î º¸Àδ١±°í ¼³¸íÇß´Ù.
Ñûº¸´Ù º¹ºÎ ´ëµ¿¸Æ·ù À§Çè 4¹è ¡è

º¹ºÎ ´ëµ¿¸Æ·ù´Â ¸ö¼ÓÀÇ °¡Àå Å« Ç÷°üÀÎ ´ëµ¿¸ÆÀÌ ¿ø·¡ Á÷°æº¸´Ù 50% ÀÌ»ó Ä¿Áö´Â »óÅ´Ù. ¡®·ù(×»)¡¯´Â Ç÷°üÀÌ È¤Ã³·³ ºÎÇ®¾îÁø »óŸ¦ ¸»ÇÑ´Ù. Á¤»ó ´ëµ¿¸Æ Á÷°æÀº 2~2.5§¯Àε¥, 5§¯ ÀÌ»ó ºÎÇ®¸é ÅÍÁú À§ÇèÀÌ ³ô¾Æ ¼ö¼úÀÌ ÇÊ¿äÇÏ´Ù. ´ëµ¿¸Æ Á÷°æÀÌ 5§¯ ÀÌ»óÀÌ¸é ÆÄ¿ À§ÇèÀÌ 1³â¿¡ 1~5%, 6§¯ ÀÌ»óÀ̸é 10%, 7§¯ ÀÌ»óÀ̸é 20%, 8§¯ ÀÌ»óÀ̸é 40%·Î Á¡Á¡ ³ô¾ÆÁø´Ù. µû¶ó¼ ÆÄ¿ Àü¿¡ ¹ß°ßÇØ Ä¡·áÇÏ´Â °ÍÀÌ ¹«¾ùº¸´Ù Áß¿äÇÏ´Ù.
±è ±³¼ö´Â ¡°º¹ºÎ ´ëµ¿¸Æ·ù´Â ÆÄ¿ÀÌ µÇ³Ä ¾È µÇ³Ä¿¡ µû¶ó ȯÀÚ ¿¹Èİ¡ ±Ø¸íÇÏ°Ô °¥¸®´Â ÁúȯÀ̹ǷΠ¼±º°°Ë»ç°¡ ÇÊ¿äÇѵ¥µµ ÇöÀç ºñ¿ë È¿°ú¼º ¶§¹®¿¡ ½ÃÇàµÇÁö ¸øÇϰí ÀÖ´Ù¡±°í ¸»Çß´Ù. ¹Ì±¹¡¤À¯·´¿¡¼± 65¼¼ ÀÌ»ó, Èí¿¬·ÂÀ» °¡Áø ³²¼º¿¡¼± ¼±º°°Ë»ç°¡ ÀÌ·ïÁö°í ÀÖ´Ù. Çѱ¹Àº ³²¼º°ú ¿©¼º ¸ðµÎ¿¡ ¼±º°°Ë»ç¸¦ ÇÏÁö ¾Ê°í ÀÖ´Ù.
´õ±¸³ª ¿©¼ºÀº ³²¼ºº¸´Ù º¹ºÎ ´ëµ¿¸Æ·ùÀÇ ÆÄ¿ À§ÇèÀÌ 4¹è ´õ ³ô°í ¿¹Èİ¡ ºÒ·®ÇÏ´Ù. ¿©¼ºÀº Á¤»ó ´ëµ¿¸ÆÀÇ Å©±â ÀÚü°¡ À۱⠶§¹®¿¡ ³²¼º°ú °°Àº ±âÁرîÁö Ä¿Áö¸é ÅÍÁú °¡´É¼ºÀÌ Å©´Ù. ȲÁ¤±â ±³¼ö´Â ¡°Á¶±â Æó°æ ¿©¼ºÀº ±âÁ¸ÀÇ °íÀ§Çè ÀÎÀÚ(Èí¿¬, °íÇ÷¾Ð µî)¸¦ °¡Áø À̵é°ú ÇÔ²² ¼±º°°Ë»ç ´ë»ó¿¡ Æ÷ÇÔÇÒ Çʿ䰡 ÀÖ´Ù¡±°í ÁöÀûÇß´Ù. ¾Æ¿ï·¯ Á¶±â Æó°æÇÑ °æ¿ì¶ó¸é °Ç°ÇÑ ½Ä»ýȰ, üÁß °ü¸®, À¯»ê¼Ò ¿îµ¿ µî ¼öÄ¢À» ´õ öÀúÈ÷ ÁöŰ°í ´ëµ¿¸Æ ÃÊÀ½ÆÄ °Ë»ç¸¦ ÇÑ ¹ø °í·ÁÇØ º¼ Çʿ䰡 ÀÖ´Ù. ±è ±³¼ö´Â ¡°ÀϹÝÀû À¯º´ ³ªÀ̳ª ÁøÇà ¼Óµµ¸¦ ±Ù°Å·Î º¼ ¶§ 60¼¼ °æ¿¡ ÇÑ ¹ø ¹Þ¾Æº¸°í °üÂûµÇÁö ¾ÊÀ¸¸é Áֱ⸦ µÎ°í ¹Ýº¹ °Ë»ç¸¦ ÇØ º¸¸é ÁÁ°Ú´Ù¡±°í ±Ç°íÇß´Ù.
¹ÎÅ¿ø ÀÇÇÐÀü¹®±âÀÚ twmin@kmib.co.kr
GoodNews paper ¨Ï ±¹¹ÎÀϺ¸(www.kmib.co.kr), ¹«´ÜÀüÀç, ¼öÁý, Àç¹èÆ÷ ¹× AIÇнÀ ÀÌ¿ë ±ÝÁö